Gingival Hyperplasia After Orthodontic Treatment . an increase in plaque retention and ineffective dental hygiene practices lead to gingival enlargement (ge). occurrence of gingivitis, periodontitis, gingival recession and the formation of gingival pockets during or after. gingival enlargement (ge) is excessive growth of the gums where the inflammatory tissue may be in a limited region, or it may be.
from casereports.bmj.com
occurrence of gingivitis, periodontitis, gingival recession and the formation of gingival pockets during or after. gingival enlargement (ge) is excessive growth of the gums where the inflammatory tissue may be in a limited region, or it may be. an increase in plaque retention and ineffective dental hygiene practices lead to gingival enlargement (ge).
Phenytoininduced gingival enlargement a dental awakening for patients
Gingival Hyperplasia After Orthodontic Treatment an increase in plaque retention and ineffective dental hygiene practices lead to gingival enlargement (ge). an increase in plaque retention and ineffective dental hygiene practices lead to gingival enlargement (ge). gingival enlargement (ge) is excessive growth of the gums where the inflammatory tissue may be in a limited region, or it may be. occurrence of gingivitis, periodontitis, gingival recession and the formation of gingival pockets during or after.
From www.researchgate.net
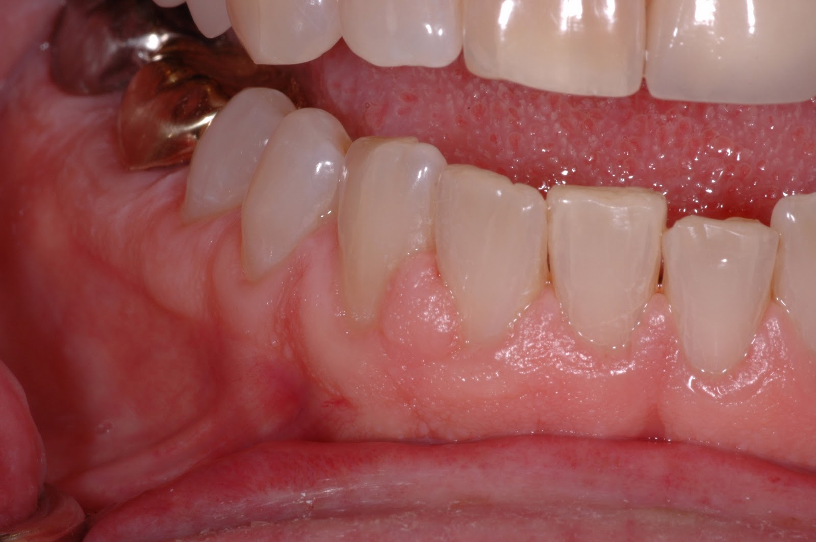
Gingival redness and hyperplasia one year after orthodontic treatment Gingival Hyperplasia After Orthodontic Treatment an increase in plaque retention and ineffective dental hygiene practices lead to gingival enlargement (ge). gingival enlargement (ge) is excessive growth of the gums where the inflammatory tissue may be in a limited region, or it may be. occurrence of gingivitis, periodontitis, gingival recession and the formation of gingival pockets during or after. Gingival Hyperplasia After Orthodontic Treatment.
From www.bmj.com
Gingival hyperplasia associated with diltiazem The BMJ Gingival Hyperplasia After Orthodontic Treatment an increase in plaque retention and ineffective dental hygiene practices lead to gingival enlargement (ge). gingival enlargement (ge) is excessive growth of the gums where the inflammatory tissue may be in a limited region, or it may be. occurrence of gingivitis, periodontitis, gingival recession and the formation of gingival pockets during or after. Gingival Hyperplasia After Orthodontic Treatment.
From ntperiohygiene.blogspot.com
The Buzz from Your Favorite Dental Hygienists Gingival Enlargement Gingival Hyperplasia After Orthodontic Treatment an increase in plaque retention and ineffective dental hygiene practices lead to gingival enlargement (ge). occurrence of gingivitis, periodontitis, gingival recession and the formation of gingival pockets during or after. gingival enlargement (ge) is excessive growth of the gums where the inflammatory tissue may be in a limited region, or it may be. Gingival Hyperplasia After Orthodontic Treatment.
From directorioodontologico.blogspot.com
PERIODONTICS Top causes of gingival enlargement and treatment options Gingival Hyperplasia After Orthodontic Treatment gingival enlargement (ge) is excessive growth of the gums where the inflammatory tissue may be in a limited region, or it may be. an increase in plaque retention and ineffective dental hygiene practices lead to gingival enlargement (ge). occurrence of gingivitis, periodontitis, gingival recession and the formation of gingival pockets during or after. Gingival Hyperplasia After Orthodontic Treatment.
From www.merckmanuals.com
Gingival Hyperplasia Dental Disorders Merck Manuals Professional Gingival Hyperplasia After Orthodontic Treatment occurrence of gingivitis, periodontitis, gingival recession and the formation of gingival pockets during or after. gingival enlargement (ge) is excessive growth of the gums where the inflammatory tissue may be in a limited region, or it may be. an increase in plaque retention and ineffective dental hygiene practices lead to gingival enlargement (ge). Gingival Hyperplasia After Orthodontic Treatment.
From alamoimplantcenter.com
Swollen Gums, Overgrown gingiva during Orthodontic Treatment Causes Gingival Hyperplasia After Orthodontic Treatment gingival enlargement (ge) is excessive growth of the gums where the inflammatory tissue may be in a limited region, or it may be. occurrence of gingivitis, periodontitis, gingival recession and the formation of gingival pockets during or after. an increase in plaque retention and ineffective dental hygiene practices lead to gingival enlargement (ge). Gingival Hyperplasia After Orthodontic Treatment.
From www.researchgate.net
(PDF) Idiopathic gingival hyperplasia and orthodontic treatment A case Gingival Hyperplasia After Orthodontic Treatment gingival enlargement (ge) is excessive growth of the gums where the inflammatory tissue may be in a limited region, or it may be. an increase in plaque retention and ineffective dental hygiene practices lead to gingival enlargement (ge). occurrence of gingivitis, periodontitis, gingival recession and the formation of gingival pockets during or after. Gingival Hyperplasia After Orthodontic Treatment.
From kredibanka.org
Invisalign Avant Et Après / Orthodontie Firouz West Los Angeles Gingival Hyperplasia After Orthodontic Treatment occurrence of gingivitis, periodontitis, gingival recession and the formation of gingival pockets during or after. an increase in plaque retention and ineffective dental hygiene practices lead to gingival enlargement (ge). gingival enlargement (ge) is excessive growth of the gums where the inflammatory tissue may be in a limited region, or it may be. Gingival Hyperplasia After Orthodontic Treatment.
From ar.inspiredpencil.com
Gingival Hyperplasia With Braces Gingival Hyperplasia After Orthodontic Treatment an increase in plaque retention and ineffective dental hygiene practices lead to gingival enlargement (ge). gingival enlargement (ge) is excessive growth of the gums where the inflammatory tissue may be in a limited region, or it may be. occurrence of gingivitis, periodontitis, gingival recession and the formation of gingival pockets during or after. Gingival Hyperplasia After Orthodontic Treatment.
From www.semortho.com
Basic laser procedures in orthodontic practice Seminars in Orthodontics Gingival Hyperplasia After Orthodontic Treatment an increase in plaque retention and ineffective dental hygiene practices lead to gingival enlargement (ge). gingival enlargement (ge) is excessive growth of the gums where the inflammatory tissue may be in a limited region, or it may be. occurrence of gingivitis, periodontitis, gingival recession and the formation of gingival pockets during or after. Gingival Hyperplasia After Orthodontic Treatment.
From www.dentistry33.com
Gingival recessions after orthodontic treatment do we have any Gingival Hyperplasia After Orthodontic Treatment gingival enlargement (ge) is excessive growth of the gums where the inflammatory tissue may be in a limited region, or it may be. an increase in plaque retention and ineffective dental hygiene practices lead to gingival enlargement (ge). occurrence of gingivitis, periodontitis, gingival recession and the formation of gingival pockets during or after. Gingival Hyperplasia After Orthodontic Treatment.
From ar.inspiredpencil.com
Gingival Hyperplasia With Braces Gingival Hyperplasia After Orthodontic Treatment gingival enlargement (ge) is excessive growth of the gums where the inflammatory tissue may be in a limited region, or it may be. occurrence of gingivitis, periodontitis, gingival recession and the formation of gingival pockets during or after. an increase in plaque retention and ineffective dental hygiene practices lead to gingival enlargement (ge). Gingival Hyperplasia After Orthodontic Treatment.
From clinmedjournals.org
Review Differential Diagnosis of DrugInduced Gingival Hyperplasia and Gingival Hyperplasia After Orthodontic Treatment gingival enlargement (ge) is excessive growth of the gums where the inflammatory tissue may be in a limited region, or it may be. occurrence of gingivitis, periodontitis, gingival recession and the formation of gingival pockets during or after. an increase in plaque retention and ineffective dental hygiene practices lead to gingival enlargement (ge). Gingival Hyperplasia After Orthodontic Treatment.
From mavink.com
Gingival Hyperplasia Braces Gingival Hyperplasia After Orthodontic Treatment gingival enlargement (ge) is excessive growth of the gums where the inflammatory tissue may be in a limited region, or it may be. occurrence of gingivitis, periodontitis, gingival recession and the formation of gingival pockets during or after. an increase in plaque retention and ineffective dental hygiene practices lead to gingival enlargement (ge). Gingival Hyperplasia After Orthodontic Treatment.
From dxoyprhts.blob.core.windows.net
Toothpaste For Gingival Hyperplasia at Arthur Hitt blog Gingival Hyperplasia After Orthodontic Treatment gingival enlargement (ge) is excessive growth of the gums where the inflammatory tissue may be in a limited region, or it may be. an increase in plaque retention and ineffective dental hygiene practices lead to gingival enlargement (ge). occurrence of gingivitis, periodontitis, gingival recession and the formation of gingival pockets during or after. Gingival Hyperplasia After Orthodontic Treatment.
From mavink.com
Gingival Hyperplasia Braces Gingival Hyperplasia After Orthodontic Treatment gingival enlargement (ge) is excessive growth of the gums where the inflammatory tissue may be in a limited region, or it may be. an increase in plaque retention and ineffective dental hygiene practices lead to gingival enlargement (ge). occurrence of gingivitis, periodontitis, gingival recession and the formation of gingival pockets during or after. Gingival Hyperplasia After Orthodontic Treatment.
From www.statpearls.com
CE Activity Drug Induced Gingival Overgrowth Dentist Gingival Hyperplasia After Orthodontic Treatment gingival enlargement (ge) is excessive growth of the gums where the inflammatory tissue may be in a limited region, or it may be. occurrence of gingivitis, periodontitis, gingival recession and the formation of gingival pockets during or after. an increase in plaque retention and ineffective dental hygiene practices lead to gingival enlargement (ge). Gingival Hyperplasia After Orthodontic Treatment.
From ar.inspiredpencil.com
Gingival Hyperplasia With Braces Gingival Hyperplasia After Orthodontic Treatment occurrence of gingivitis, periodontitis, gingival recession and the formation of gingival pockets during or after. an increase in plaque retention and ineffective dental hygiene practices lead to gingival enlargement (ge). gingival enlargement (ge) is excessive growth of the gums where the inflammatory tissue may be in a limited region, or it may be. Gingival Hyperplasia After Orthodontic Treatment.